症例紹介
奥歯が割れた!入れ歯はイヤだ
-

before
-

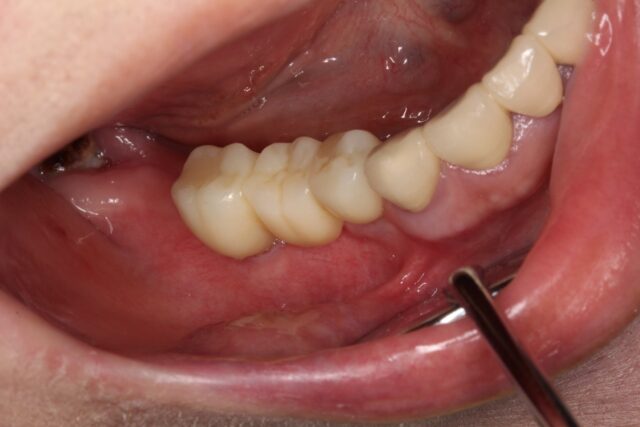
after
症例情報
| 症状 | 奥歯で噛みたい |
|---|---|
| 年齢・性別 | 60代 女性 |
| 治療期間 | 2~3か月 |
| 治療方法 | 抜歯即時インプラント |
| 費用 | 一本300,000円~400,000円 |
| デメリット・注意点 | 30分~60分ほどの小外科手術 |
奥歯が割れてしまい来院された患者さま。
「入れ歯はできれば避けたい」
「しっかり噛める歯にしたい」
とのご希望があり、インプラントを用いたブリッジ治療を計画しました。
当院が得意とする 抜歯即時インプラント で対応。
歯を抜くタイミングでインプラントを埋入するため、
治療回数や身体への負担を抑えることができます。
歯茎を切らずに、抜歯後の骨が自然に治っていく力を利用することで
痛みや腫れも少なくできます。
『やる前は緊張してたが、終わったら痛みもなくて嬉しかった!』
と、患者さまにも喜んでいただけました😊
さらに 光学スキャナー(口腔内スキャナー) を使用するため、
従来の粘土のような型取りは不要でとても楽です✨

歯の本数にもよりますが、
**最短3回(インプラント術・スキャン・セット)**で歯が入るケースもあります!
「入れ歯は避けたい」「噛める歯に戻したい」
そんな方は一度ご相談ください🦷
和歌山県有田市の歯医者
大浦歯科医院
